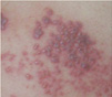
周身疼痛,可能是带状疱疹在作怪
带状疱疹中医称为“缠腰火龙”俗称“蜘蛛疮”。系由水痘-带状疱疹病毒引起,其主要特点为簇集水泡,沿一侧周围神经作群集带状分布。
发病期间,会出现多种不适症状,其中神经疼痛最为明显,患者寝食难安,如治疗不当或者是体质虚弱等因素还可能会转为后遗神经痛,严重影响了工作、生活,迁延不治、持续性的伤害可能导致患者失明、耳聋、面瘫、脑膜炎。
点击咨询了解详情正确分辨带状疱疹 及早治疗是关键!
是什么引发了带状疱疹?
错误的治疗方法 让你越治越痛
带状疱疹患者一旦治疗不及时或者治疗不彻底,就会遭受神经痛困扰。虽然该病不会有生命危险,但剧烈的疼痛,让患者痛苦不堪,严重影响生活质量,中老年人作为该病高发人群,往往选择主动求医,摆脱病痛折磨。
带状疱疹可以根除吗?中医生化经络阻滞疗法
特色中西结合技术 带状疱疹不疼了
广州中研治疗带状疱疹3大优势
众多康复案例 实力见证疗效
广州中研医生推荐
广州中研皮肤病专科简介
广州中研皮肤病专科门诊,是一家中医特色,专注皮肤病诊疗的专科医院。医院发展至今,凭借其享誉医疗行业的历史文化及权威专家、科研成果、特色诊疗、患者口碑等优势;医院现开设皮肤病诊疗项目有:痤疮、荨麻疹、湿疹、皮炎、脱发、带状疱疹、牛皮癣等常见、疑难皮肤病...详情
广州中研免费预约挂号平台
(本网站已加密,绝对保障个人隐私)


